Το Hodgkin’s, όπως και τα άλλα είδη καρκίνου είναι ασθένεια των κυττάρων του σώματος. Υπάρχουν δύο μορφές λεμφωμάτων, το Hodgkin’s και το non-Hodgkin
του Κωνσταντίνου Λούβρου, M.D., medlabnews.gr iatrikanea
Το Hodgkin’s είναι μορφή καρκίνου που επηρεάζει το λεμφικό σύστημα και είναι γνωστό με την ονομασία λέμφωμα. Υπάρχουν δύο μορφές λεμφωμάτων, το Hodgkin’s και το non-Hodgkin’s.
Το Hodgkin’s, όπως και τα άλλα είδη καρκίνου, είναι ασθένεια των κυττάρων του σώματος. Τα κύτταρα, στα διάφορα μέρη του σώματος, λειτουργούν με διαφορετικό τρόπο, όμως η ανάπλαση και η αναπαραγωγή τους γίνεται με τον ίδιο ακριβώς τρόπο. Φυσιολογικά, αυτή η λειτουργία γίνεται με ένα ρυθμικό και ελεγχόμενο τρόπο. Όταν για κάποιο λόγο διασαλευτεί ο ρυθμός και ο έλεγχος ανάπλασης και αναπαραγωγής τους, δημιουργούν όγκους ή αδενώματα.
Γενικά τα λεμφατικά κύτταρα αναπτύσσονται μέσα στα λεμφαγγεία που αποτελούν μέρος του λεμφικού συστήματος μερικές φορές τα λεμφατικά κύτταρα ξεφεύγουν από τον αρχική τους θέση και επηρεάζουν άλλους λεμφαδένες, όπου περιστασιακά μπορεί να εισέλθουν στην κυκλοφορία του αίματος και να καταλήξουν σε διάφορα όργανα. Συνήθως η ασθένεια Hodgkin’s παρουσιάζεται σε ομάδες από γειτονικούς λεμφαδένες. Η διάγνωση της ασθένειας γίνεται με την χειρουργική αφαίρεση και βιοψία κάποιου λεμφαδένα.
Η θεραπεία της ασθένειας Hodgkin’s έστω κι’ αν έχει επηρεάσει διάφορες άλλες περιοχές, είναι συνήθως επιτυχής. Αρκετοί ασθενείς τώρα μπορούν να θεραπευθούν ή να έχουν κάτω από έλεγχο την αρρώστια τους για πολλά χρόνια.
Το λεμφικό σύστημα
Το λεμφικό σύστημα είναι η φυσιολογική ασπίδα του σώματος κατά των μολύνσεων. Είναι περίπλοκο σύστημα και περιλαμβάνει λεμφικά όργανα όπως είναι ο μυελός των οστών (bone marrow), οι αμυγδαλές, ο θύμος και η σπλήνα και επίσης λεμφαδένες οι οποίοι καταλήγουν και σχηματίζουν λεπτά λεμφαγγεία. Οι λεμφαδένες βρίσκονται συνήθως στο λαιμό, στην μασχάλη και στην βουβωνική χώρα (σκέλη). Ο αριθμός των λεμφαδένων που βρίσκονται στα διάφορα μέρη του σώματος είναι διαφορετικός μεταξύ τους, για παράδειγμα, στη μασχάλη υπάρχουν 20-50 αδένες, ενώ σε άλλα σημεία είναι ελάχιστοι.
Μέσα στα λεμφαγγεία κυκλοφορεί ένα γαλακτώδες υγρό, η λέμφος, που περιέχει λεμφοκύτταρα. Τα λεμφοκύτταρα είναι λευκά αιμοσφαίρια και είναι υπεύθυνα για την προστασία του οργανισμού από τις μολύνσεις και τις ασθένειες. Όταν για παράδειγμα πονάτε το λαιμό σας, θα προσέξετε ότι οι λεμφαδένες σας στο λαιμό είναι διογκωμένοι κι’ αυτό είναι σημάδι ότι ο οργανισμός καταπολεμά την μόλυνση. Υπάρχουν δύο βασικοί τύποι λεμφοκυττάρων, τα Β-κύτταρα και τα Τ-κύτταρα. Όλα τα λεμφοκύτταρα παράγονται αρχικά από τον μυελό των οστών υπό μορφή ανώριμων κυττάρων (stem cells). Τα λεμφοκύτταρα τα οποία ωριμάζουν στον θύμο αδένα που βρίσκεται πίσω από τα οστά του μαστού, ονομάζονται Τ-κύτταρα. Τα άλλα λεμφοκύτταρα που ωριμάζουν μέσα στο μυελό των οστών ή στα άλλα όργανα του λεμφικού συστήματος ονομάζονται Β-κύτταρα.
Ποια η διαφορά μεταξύ Hodgkin’s και non-Hodgkin’s λέμφωμα;
Είναι δύο είδη λεμφώματος με εμφανή διαφορετική εικόνα μεταξύ των δύο καρκίνων, κι’ αυτό σημαίνει πως έχουν διαφορετική θεραπευτική αντιμετώπιση. Ένα συγκεκριμένο ανώμαλο κύτταρο γνωστό σαν Reed-sternberg εντοπίζεται στο Hodgkin’s ενώ δεν εντοπίζεται συνήθως στο non-Hodgkin’s.
Τι προκαλεί το Hodgkin’s λέμφωμα;
Η αιτία που προκαλεί την ασθένεια Hodgkin’s είναι ακόμη άγνωστη, γι’ αυτό και οι έρευνες συνεχίζονται.
Η ασθένεια Hodgkin’s, όπως και οι άλλες μορφές καρκίνου δεν είναι μεταδοτική από άτομο σε άτομο, αλλά ούτε και κληρονομική.
Ποια είναι τα συμπτώματα της ασθένειας Hodgkin’s;
Το πρώτο σύμπτωμα της ασθένειας Hodgkin’s είναι ο πόνος και η διόγκωση στο λαιμό, στην μασχάλη ή στην βουβώνη (σκέλη). Άλλα συμπτώματα που μπορεί να συνυπάρχουν είναι οποιαδήποτε από τα πιο κάτω:
Το λέμφωμα Hodgkin παρουσιάζει τα εξής συμπτώματα:
ανώδυνη διόγκωση λεμφαδένων (τράχηλο, μασχάλη βουβώνες, μεσοθωράκιο)
πυρετός
νυχτερινή εφίδρωση
απώλεια βάρους
αναιμία
έντονο αίσθημα καταβολής
σπληνομεγαλία
πόνος στα κόκαλα
φαγούρα
Το λέμφωμα ΜΗ Hodgkin παρουσιάζει παρόμοια συμπτώματα με τις εξής διαφορές
μπορεί να μην συνοδεύεται από πυρετό
ο μυελός των οστών προσβάλλεται από καρκινικά κύτταρα (λευχαιμική εικόνα)
προσβάλλεται το πεπτικό σύστημα Αν εσείς ή κάποιο από τα παιδιά σας παρουσιάσετε οποιοδήποτε από τα πιο πάνω συμπτώματα θα πρέπει να γνωρίζετε ότι αυτά τα συμπτώματα μπορεί να μην έχουν καμία σχέση με την ασθένεια Hodgkin’s και να είναι απλώς συνηθισμένα συμπτώματα κάποιας άλλης ασθένειας.
Ποιοι είναι οι παράγοντες κινδύνου
• μόλυνση από συγκεκριμένους ιούς (HIV/AIDS, HTLV-1, EBV)
• ασθένειες και φάρμακα που αποδυναμώνουν το ανοσοποιητικό σύστημα
• μεταμοσχευμένοι ασθενείς
Πώς γίνεται η διάγνωση;
O γιατρός πρέπει να πάρει το ιατρικό ιστορικό του ασθενή και να κάνει μια σχολαστική κλινική εξέταση. Θα γίνουν επίσης αναλύσεις αίματος και ακτινολογικός έλεγχος θώρακα, οστών, ήπατος και σπλήνα. Η τελική διάγνωση θα τεθεί μετά από την χειρουργική αφαίρεση μέρους ενός διογκωμένου λεμφαδένα και στην συνέχεια η μικροσκοπική του εξέταση (βιοψία). Είναι μικρή επέμβαση και συνήθως γίνεται με γενική νάρκωση του ασθενή.
Άλλες ιατρικές εξετάσεις
Όταν το αποτέλεσμα της βιοψίας καθορίσει την ασθένεια Hodgkin’s, ο γιατρός σας θα προγραμματίσει μια σειρά από άλλες ιατρικές εξετάσεις για να ελέγξει το ακριβές στάδιο της ασθένειας. Η σταδιοποίηση της ασθένειας στοχεύει στην διάγνωση της επέκτασης και της διήθησης του καρκίνου σε άλλα όργανα του σώματος, απ’ όπου θα εξαρτηθεί ο τύπος της θεραπείας που θα σας χορηγηθεί.
Οι διάφορες συμπληρωματικές εξετάσεις που θα γίνουν με σκοπό την σταδιοποίηση και την χορήγηση της καλύτερης θεραπευτικής αγωγή που αρμόζει για σας, είναι οι ακόλουθες:
Αιματολογικές Εξετάσεις: Δείγματα αίματος θα δίνετε συχνά σε όλη την διάρκεια της θεραπείας σας για έλεγχο της γενικής κατάστασης της υγείας σας, τα επίπεδα των ερυθρών και των λευκών αιμοσφαιρίων στο αίμα, τα αιμοπετάλια και την λειτουργικότητα των νεφρών και του ήπατος (συκώτι).
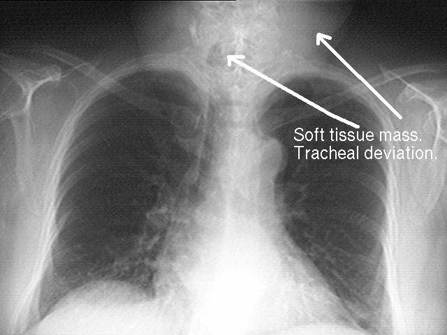
Ακτινογραφία θώρακος: Η ακτινογραφία αυτή γίνεται για εντοπισμό πιθανής διήθησης της ασθένειας στους λεμφαδένες του θώρακα.
Υπερηχογράφημα (Ultra Sound Scan): Η εξέταση αυτή αποσκοπεί στον έλεγχο των εσωτερικών οργάνων της κοιλιάς, τα οποία απεικονίζονται στην οθόνη του ηλεκτρονικού υπολογιστή με την βοήθεια των υπερήχων που εκπέμπονται από ειδικό πομπό.
Αξονική τομογραφία (CT Scan):
Η αξονική τομογραφία, είναι εξειδικευμένη ακτινογραφία η οποία απεικονίζει σε τρεις διαφορετικές τομές τα εσωτερικά όργανα του σώματος. Είναι ανώδυνη εξέταση και διαρκεί συνήθως από 10 ́ – 20 ́. Στην αξονική τομογραφία χρησιμοποιείται ελαφριά δόση ακτινοβολίας που δεν επηρεάζει ούτε εσάς αλλά ούτε και τους γύρω σας. Πριν από την εξέταση θα πρέπει να μείνετε χωρίς τροφή και υγρά για 4 ώρες.
Για καλύτερη απεικόνιση των ευρημάτων θα σας χορηγηθεί σκιαγραφική ουσία υπό μορφή ροφήματος ή και ενδοφλέβια πριν από την εξέταση. Η ενδοφλέβια σκιαγραφική ουσία συνήθως σε ορισμένους ασθενείς προκαλεί ένα αίσθημα αύρας σ’ όλο το σώμα. Όμως αν έχετε αλλεργία στο ιώδιο ή αν υποφέρετε από άσθμα θα πρέπει οπωσδήποτε να το αναφέρετε στη νοσηλεύτρια του τμήματος ή τον ακτινολόγο.
Mαγνητική τομογραφία (MRI):
Αυτή η εξέταση είναι παρόμοια με την αξονική τομογραφία με την διαφορά ότι χρησιμοποιείται μαγνητισμός αντί ακτίνες Χ. Χορηγείται συνήθως σκιαγραφική ουσία ενδοφλέβια και διαρκεί περίπου 30’. Ο μαγνητικός τομογράφος είναι ένα θορυβώδες μηχάνημα γι’ αυτό θα σας χορηγηθούν ωτοασπίδες για περιορισμό της ενόχλησης από τους κρότους. Άτομα με χειρουργικά μεταλλικά κλιπς ή με καρδιακούς βηματοδότες δυστυχώς δεν μπορούν να υποβληθούν σε μαγνητική τομογραφία.
Mετά τη συμπλήρωση όλων των απαραίτητων εξετάσεων θα σας δοθεί ραντεβού με τον ιατρό σας ο οποίος και θα σας ανακοινώσει τα αποτελέσματα των ευρημάτων και μαζί θα συζητήσετε για το είδος και τον προγραμματισμό της δικής σας θεραπείας..
Γάλιον (Gallium Scan):
Η εξέταση αυτή γίνεται στο τμήμα ραδιο-ισοτόπων και δίδει χρήσιμες πληροφορίες στην επεξήγηση των τυχών ανωμαλιών που διαφαίνονται στις απλές ακτινογραφίες και στην αξονική τομογραφία. Πριν από την εξέταση χορηγείται ενδοφλέβια ραδιενεργός σκιαγραφική ουσία με την ονομασία Γάλιον και επανέρχεστε το τμήμα ραδιοϊσοτόπων 3-4 μέρες αργότερα για να γίνει η εξέταση κάτω από ειδικό απεικονιστικό μηχάνημα.
Ποια είναι η θεραπεία της ασθένειας Hodgkin’s;
Η κύρια θεραπεία της ασθένειας Hodgkin’s είναι η ακτινοθεραπεία και η χημειοθεραπεία, είτε σε συνδυασμό, είτε το ένα είδος από τις δύο.
Αρκετοί ασθενείς έχουν αποθεραπευτεί από την ασθένεια Hodgkin’s, ακόμη και όταν η ασθένεια είχε επηρεάσει άλλα όργανα.
Όταν η ασθένεια βρίσκεται στα αρχικά στάδια I & II ο γιατρός θα χορηγήσει ακτινοθεραπεία, αν και συχνά συνηθίζεται ο συνδυασμός και με χημειοθεραπεία. Στα προχωρημένα στάδια της ασθένειας, III & IV, η χημειοθεραπεία είναι η μόνη θεραπευτική αγωγή που επιλέγεται.
Όταν η καθιερωμένη θεραπευτική αντιμετώπιση με κυτταροστατικά φάρμακα (χημειοθεραπεία) δεν έχει θετικά αποτελέσματα στην ασθένεια Hodgkin’s ή όταν μετά από την θεραπεία με κυτταροστατικά φάρμακα η ασθένεια επανέρχεται, τότε μπορεί να χορηγηθεί χημειοθεραπεία με πολύ ψηλές δόσεις κυτταροστατικών φαρμάκων ή να υποστηριχθεί ο ασθενής με μεταμόσχευση νεαρών κυττάρων (stem cells). Περιστασιακά τα θεραπευτικά σχήματα που χορηγούνται στην ασθένεια Hodgkin’s μπορεί να προκαλέσουν σοβαρές και μακροχρόνιες παρενέργειες. Kάποια κυτταροστατικά φάρμακα μπορεί να προκαλέσουν μόνιμη στείρωση, ενώ τα νεότερα φάρμακα που άρχισαν να κυκλοφορούν περιορίζουν στο ελάχιστο αυτή την παρενέργεια. Η ακτινοθεραπεία και η χημειοθεραπεία μπορεί σε ελάχιστες μόνο περιπτώσεις να προκαλέσουν άλλο είδος καρκίνου σε κατοπινό στάδιο. Όμως τα νέα σχήματα και η θεραπευτική αντιμετώπιση για την θεραπεία της ασθένειας Hodgkin’s έχουν σχεδιαστεί για να περιορίσουν στο ελάχιστο δυνατό επίπεδο αυτές τις ανεπιθύμητες παρενέργειες. Ίσως να προσέξετε πως κάποιοι άλλοι ασθενείς παίρνουν διαφορετική θεραπεία από εσάς. Αυτό συμβαίνει συχνά, και ο λόγος είναι γιατί η ασθένεια τους έχει διαφορετική μορφή από την δική σας.
Υψηλές δόσεις θεραπείας με την υποστήριξη μυελού των οστών ή νεαρών κυττάρων (νεοβλάστες):
Για κάποιους ασθενείς πιθανόν να είναι αναγκαία η χορήγηση υψηλών δόσεων χημειοθεραπείας ή και ακτινοθεραπείας και στη συνέχεια η ενίσχυσή τους με μεταμόσχευση μυελού των οστών ή με νεοβλάστες. Η θεραπευτική αγωγή με αυτή την μέθοδο εφαρμόζεται, στις περιπτώσεις ασθενών, που, η ανταπόκριση τους στο θεραπευτικό σχήμα που προηγήθηκε ήταν πενιχρή, και όταν μετά από τη θεραπεία το λέμφωμα επανεμφανίζεται.
Οι νεοβλάστες είναι τα καινούργια κύτταρα που μόλις αρχίζουν να αναπλάθονται και που δεν έχουν επηρεαστεί από το λέμφωμα, και παίρνονται είτε από το αίμα, είτε από το μυελό των οστών του ασθενή. Ο μυελός των οστών είναι το περιεχόμενο του εσωτερικού μέρους των οστών (μυελούδι) όπου παράγονται τα κύτταρα του αίματος. Οι υψηλές δόσεις χημειοθεραπείας καταστρέφουν τον μυελό των οστών και για να σωθεί η ζωή του ασθενή θα πρέπει να του γίνει μεταμόσχευση. Φυσικά ο όρος «μεταμόσχευση» έχει τροποποιηθεί με την φράση «υποστήριξη με νεοβλάστες» (stem cell support), διότι χορηγούνται πιο συχνά νεοβλάστες που παίρνονται απευθείας από το αίμα, παρά από τον μυελό των οστών.
Πώς παίρνονται οι νεοβλάστες και πώς χορηγούνται;
Mετά την χημειοθεραπεία χορηγούνται καθημερινά με ενέσεις, υποδόρια, αιμοποιητικοί παράγοντες (growth factor). Οι αιμοποιητικοί παράγοντες είναι ειδικές πρωτεΐνες που βοηθούν τους νεοβλάστες να πολλαπλασιάζονται με γοργό ρυθμό και να διοχετεύονται από τον μυελό των οστών στο αίμα.
Όταν τα κύτταρα του αίματος αυξηθούν στα φυσιολογικά επίπεδα, τότε θα αρχίσει η διαδικασία επιλογής των κυττάρων (νεοβλάστες) και που διαρκεί περίπου 3-4 ώρες. Αυτή η διαδικασία προβλέπει, ο ασθενείς να είναι ξαπλωμένος και να γίνει φλεβοκέντηση και στα δύο χέρια υπό μορφή ενδοφλέβιας χορήγησης. Από το σημείο της φλεβοκέντησης του ενός χεριού θα αφαιρείται αίμα από τον ασθενή το οποίο θα συλλέγεται σε ένα ειδικό μηχάνημα, θα διαχωρίζονται και θα περισυλλέγονται οι νεοβλάστες και το υπόλοιπο αίμα θα επιστρέφει στον ασθενή διαμέσου της φλεβοκέντησης του άλλου χεριού.
Οι νεοβλάστες που θα περισυλλεγούν θα τοποθετηθούν σε κατάψυξη και θα βρίσκονται εκεί καθ’ όλη τη διάρκεια που ο ασθενής θα παίρνει τις υψηλές δόσεις της χημειοθεραπείας. Μετά αφού ξεπαγώσουν τους νεοβλάστες θα χορηγηθούν στον ασθενή υπό μορφή μετάγγισης αίματος.
Για μερικούς ασθενείς μπορεί να είναι αναγκαίο να κάνουν την μεταμόσχευση με κύτταρα από κάποιο δότη, «αλλογενής μεταμόσχευση», αντί με τα δικά τους κύτταρα, «αυτόλογος μεταμόσχευση».
Αυτού του είδους οι μεταμοσχεύσεις με νεοβλάστες ή με μυελό των οστών είναι σχετικά νέες θεραπευτικές διαδικασίες που περικλείουν κάποιους κινδύνους. Γι’ αυτό το λόγο οι ασθενείς παραπέμπονται σε εξειδικευμένα νοσοκομεία.
Θεραπεία με κορτικοειδή φάρμακα (κορτιζόνες)
Τα κορτικοειδή φάρμακα χορηγούνται συχνά σε συνδυασμό με την χημειοθεραπεία και βοηθούν στην θεραπεία του Hodgkin’s και παράλληλα μειώνουν τα συμπτώματα της ναυτίας και του εμετού.
Παρενέργειες
Τα κορτικοειδή χορηγούνται για μικρό χρονικό διάστημα συνήθως όμως μπορεί να παρουσιάσουν κάποιες παρενέργειες, όπως αύξηση της ενεργητικότητας και της όρεξης για φαγητό και επίσης αϋπνία.
Αν εσείς θα πρέπει να πάρετε κορτικοειδή για μεγαλύτερο χρονικό διάστημα, ίσως να έχετε και κάποιες άλλες παροδικές όμως παρενέργειες όπως φούσκωμα στα βλέφαρα, τα χέρια, τα πόδια και τα δάκτυλα, ανωμαλίες στην αρτηριακή πίεση και ευάλωτος στις μολύνσεις. Επίσης μπορεί να παρουσιάσετε ψηλά επίπεδα ζαχάρου στο αίμα οπόταν ο γιατρός σας θα χρειαστεί να σας χορηγήσει ειδικά φάρμακα για να ρυθμίζεται το ζάχαρο στο αίμα. Γι’ αυτό θα πρέπει να κάνετε συχνά έλεγχο ζαχάρου στο αίμα και στα ούρα. Ο έλεγχος ζαχάρου στα ούρα γίνεται καθημερινά, οι νοσηλεύτριες θα σας καθοδηγήσουν για να κάνετε αυτό τον έλεγχο στο σπίτι σας, ενώ για τον έλεγχο στο αίμα θα σας δώσει οδηγίες ο γιατρός σας κάθε πόσο θα πρέπει να ελέγχεται. Mια άλλη παρενέργεια που πιθανόν να έχετε είναι η αύξηση του βάρους σας, όμως να θυμάστε πως όλες αυτές οι παρενέργειες είναι παροδικές και εξαφανίζονται σταδιακά μετά την συμπλήρωση της θεραπείας.
Είναι καλό εν όσο θα παίρνετε θεραπεία με στεροειδή να έχετε πάντα μαζί σας ένα σημείωμα ή κάρτα που να επισημαίνει ότι παίρνετε κορτικοειδή.
Η ιατρική παρακολούθηση
Mετά την συμπλήρωση της θεραπείας σας, ο γιατρός στην αρχή θα σας εξετάζει κάθε μήνα και αργότερα σταδιακά θα αραιώσει τις επισκέψεις σας.
Πηγή: medlabnews.gr iatrikanea












Δεν υπάρχουν σχόλια:
Δημοσίευση σχολίου